Case Report
Creative Commons, CC-BY
Nonoperative Management of an Enterocutaneous Fistula A Case Report
*Corresponding author: Atta Nawabi MD, MBA, FACS, FICS, Professor of Surgery Division of HPB, and Transplant, Department of Surgery, 3901 Rainbow Boulevard Kansas City, KS 66160, USA.
Received: March 27, 2025; Published: April 01, 2025
DOI: 10.34297/AJBSR.2025.26.003450
Abstract
Enterocutaneous fistulae are a well-known complication of enteric surgery. Early complications of fistulae can be life-threatening including sepsis and metabolic derangements. Persisting fistulae consumes time and resources while impacting quality of life. Management must be individualized to the patient. Here we present a case of an enterocutaneous fistula successfully managed via embolization with fibrin glue. This case demonstrates that fibrin glue embolization is a low-risk option for definitive fistula management.
Keywords: POD: Postoperative Day; CTAP: Computed Tomography Abdomen Pelvis; IR: Tnterventional Radiology; PTC: Percutaneous Transhepatic Cholangiogram; RLQ: Right Lower Quadrant; RUQ: Right Upper Quadrant; TPN: Total Parenteral Nutrition; GJ: Gastrojejunals; HPB: Hepato-Pancreatio Biliary; GI: Gastroenterology.
Introduction
An enterocutaneous fistula is an abnormal connection between intestine and the skin allowing communication of the intestinal lumen and external environment. Although enterocutaneous fistulae have many potential etiologies, it has been reported that 75% to nearly 90% develop post-operatively [1,2]. Patients who have received radiation surrounding the fistula site, who are malnourished, are involved in traumas requiring exploratory laparotomy, or have Crohn’s disease are increased risk of developing a post-operative fistula [2]. Patients who develop an enterocutaneous fistula present early post operatively and may demonstrate symptoms not limited to fever, abdominal pain, and ileus. An intra-abdominal abscess is frequently associated. Bilious drainage or drainage of enteric content ultimately appears in surgical drains or drains through the sur gical incision. Fistulae are classified based on daily output into low (<200cc), moderate (200cc-500cc), and high (>500cc) categories.
Early management includes fluid resuscitation, nutritional support, care of surrounding skin, fistula characterization via imaging, and controlling infection with antibiotics and possibly percutaneous abscess drainage. Some fistulae will resolve spontaneously, often within 5 weeks of the inciting operation [3,4]. Among those requiring surgical management, intervention at least 6 weeks beyond presentation of the fistula is associated with decreased mortality [5] Alternatives to surgery for definitive management include endoscopic suturing, endoscopic clipping, tissue sealants, and fistula plugging [1].
Ultimately, definitive management must be tailored to the patient with consideration of etiology, anatomy, and co-morbidities. In this report, we present a case of an enterocutaneous fistula developed arising after pancreaticoduodenectomy, definitively managed via embolization of the fistula tract with fibrin glue.
Case Presentation
Our patient is a 59-year-old Caucasian male with medical history significant for hypertension, coronary artery disease, obesity with a body mass index of 38, and prior cholecystectomy, who was referred to The University of Kansas Hospital for obstructive jaundice. Here, he was appropriately evaluated by GI with endovascular ultrasound and biopsy. A diagnosis of cholangiocarcinoma was made, and he was referred to HPB surgery. Due to complete obstruction of the common bile duct, GI was unable to place a biliary stent. Alternatively, he underwent PTC with biliary drain placement with IR prior to surgery (Image 1).
He then underwent an uneventful pancreaticoduodenectomy (Whipple) procedure, with negative margins. On POD 5, he developed a leukocytosis. A CTAP was performed and demonstrated ileus, pockets of fluid, and pneumoperitoneum, indicating possible abscess formation (Image 2). A pigtail drain was placed in this abscess by IR on the same day, and TPN was initiated. Drain fluid was analyzed and consistent with a bile leak and polymicrobial infection. On POD 12, enteral nutrition was initiated through a GJ tube.
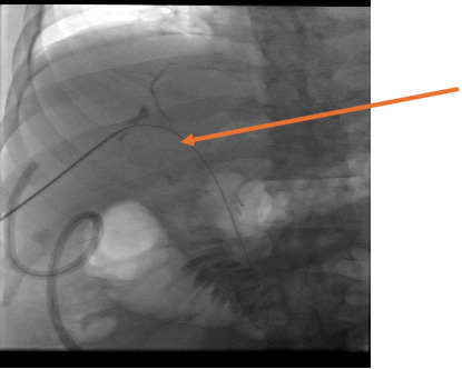
Six weeks postoperatively, the patient was able to transfer to an acute rehabilitation facility. There, he began to tolerate PO intake and after one month in rehab, the GJ tube was able to be removed. The pigtail drain remained in place with persisting, cloudy fluid drainage. One month later, output from the pigtail drain evolved, becoming succus and consistent with enteric content. Output ranged between 200cc and 300cc daily. The patient returned to IR multiple times over several months on an outpatient basis, undergoing abscessograms, drain reposition, and drain upsizing. Abscessogram ultimately demonstrated the positioning of the catheter with the pigtail terminating within the lumen of the small bowel, consistent with an iatrogenic enterocutaneous fistula (Image 3).
After extensive discussion with IR staff, the decision was made to remove the catheter. First Amplatz wire was advanced to the existing catheter then the catheter was withdrawn over the wire exchange for a JB 1 catheter. The JB 1 catheter was advanced across the fistula and then Successful glue embolization of tract was noted post procedurally (Image 4) without evidence of leakage of enteric contents. A sterile dressing was applied. The patient tolerated the procedure well. For 2 months following embolization, the patient has not experienced cutaneous drainage of bilious or enteric contents.
Discussion
Enterocutaneous fistulae present a frustrating complication for both patient and physician. In the early postoperative period, fistulae may contribute to wound or abscess infection, electrolyte derangements, and malnutrition. Longer-term, persistent drainage may result in the need for frequent follow-up and intervention, which can substantially impair quality of life. Management of persisting fistulae can be time and resource intensive. Our patient had a complicated postoperative hospitalization with formation of multiple abscesses. In the outpatient period, he required repeated IR interventions while managing his multiple drains and experiencing nausea and vomiting. He was a poor candidate for surgical intervention given metastatic disease and malnutrition. The extended fistula tract would not have been amendable to plugging. This case demonstrates embolization utilizing fibrin glue may be an effective strategy for fistulae with increased output. Notably the patient has had zero adverse effects due to fibrin glue placement and only a single intervention was required for complete fistula tract closure. This case demonstrates that fibrin glue embolization in patients with a low-to-moderate output enterocutaneous fistula is a low-risk strategy that can be successfully employed for definitive management. This case additionally highlights the importance of multidisciplinary discussions between interventional radiology and surgery in management and optimizing patient outcomes.
Acknowledgements
None.
Disclosures
None.
References
- Gribovskaja Rupp I, Melton GB (2016) Enterocutaneous fistula: proven strategies and updates. Clinics in colon and rectal surgery 29(2): 130-137.
- Gefen R, Garoufalia Z, Zhou P, Watson K, Emile SH, et al. (2022) Treatment of enterocutaneous fistula: a systematic review and meta-analysis. Tech Coloproctol 26(11): 863-874.
- Martinez JL, Luque de Leon E, Mier J, Blanco Benavides R, Robledo F (2008) Systematic management of postoperative enterocutaneous fistulas: factors related to outcomes. World journal of surgery 32(3): 436-443.
- Tavakkoli A, Ashley SW, Zinner MJ (2019) Small Intestine In: Brunicardi F, Andersen DK, Billiar TR, Dunn DL, Kao LS, Hunter JG, Matthews JB, Pollock RE. (2019) eds. Schwartz's Principles of Surgery, 11e. McGraw-Hill Education.
- Fazio VW, Coutsoftides T, Steiger E (1983) Factors influencing the outcome of treatment of small bowel cutaneous fistula. World J Surg 7(4): 481-488.





We use cookies to ensure you get the best experience on our website.