Research Article
Creative Commons, CC-BY
Toxicity and Histological Studies of a Local Indigenous Alcohol Beverage in Male Albino Rats
*Corresponding author 1: Vidya Sankarapandian, Faculty of Biomedical Science, Department of Microbiology, Kampala International University, Uganda.
*Corresponding author 2: Bot Yakubu Sunday, School of Allied Health Science, Department of Medical Laboratory Science, Kampala International University, Uganda.
Received: March 10, 2025; Published: March 20, 2025
DOI: 10.34297/AJBSR.2025.26.003430
Abstract
Goskolo (GSK) is a newly introduced local alcoholic drink on the Plateau with several negative impacts among the youths. Currently, there is paucity of scientific information on the content of GSK and the identity of its content remains unknown to the public. This study is aimed at investigating the Gas Chromatography and Mass Spectrometry, (Chromatographic profiling) of GSK in adult male Wister Albino rats. Four (4) brands of commercially produced GSK beverages tagged Dark Rum “DR”, Alomo Bitters “AB”, Swagga Schnnaps “SS” and Swagga Dry Din “SDG” were procured from retail stops (Local suppliers). Sample was analyzed using Gas Chromatography and Mass Spectrometry (GC-MS) method. Fifty (50) adult male Wister Albino rats were randomly divided into groups of ten (10) rats each. The five (5) groups of rats were then subjected to oral treatments with 0.31mls per kg of body weight of the various brands of GSK once a day for thirty days following LD50 estimation. Animals were sacrificed by Chloroform inhalation at the end of thirty days. Necroscopy was performed on all the animals. The liver and kidney were removed and placed in 10% formal saline. Blood samples were also collected and serum levels of Manganese (Mn), Lead (Pb), Chromium (Cr), Cadmium (Cd), Nickel (Ni), Cobalt (Co) and Hematoxylin and Eosin (H & E) were all analysed using standard methods. Results obtained from heavy metal analysis showed the presence of Cadmium, Nickel, Cobalt in “AB” and “SDG” respectively. Nickel and Cobalt were detected in “DR” whereas Lead, Cadmium and Cobalt were detected in “SS”. The analysis of GSK brands revealed the presence of 4-Methylmorpholine-4-Oxide, 2,4 Dithmethylhexane, 2-4-demethy1-1-decene, (E) -2-Decanol and 2,4-dimethy1-1-decene and (E) Decanol;Eicosanoic acid, 2-hydroxy- 1-(hydroxy1 methy1)ethy1 ester). Hence, routine analysis of Liver and Kidney function test, haematological variables and heavy metals are highly recommended in suspected cases of GSK Intoxication or consumers.
Keywords: Goskolo, Chromatography, Wister albino rat, Alomo bitters, Swagga schnnaps, Swagga dry gin, Necrosis, Necroscopy, Biochemical, Haematological, Histological
Introduction
Alcohol consumption has occurred for thousands of years. So much alcohol consumption remains a threat to global public health and is established to account for about 6% of mortality and 5% of disability adjusted life years lost worldwide [1]. The global scenario is that, an alcoholic beverage is a common feature of social gathering especially in Africa [2]. Aside the chronic diseases that may affect drinkers after several years of heavy use, Alcohol also contributes to traumatic outcomes that kills or disables one at relatively young age, resulting in the loss of many years of life to death or disability. Again, global statistics has it that alcohol accounts for about 20 to 30% of oesophageal Cancer, liver cancer, cirrhosis of the liver, homicide, epilepsy and motor vehicle accidence [3]. Thus, use of alcohol is one of the major factors contributing to premature deaths and avoidable disease burden worldwide and has a major impact on public health. Harmful use of alcohol was estimated to cause about 2.3 million premature deaths worldwide in 2009 [4]. Alcoholic beverages, and the problems they engender, have been familiar fixtures in human societies. Presumably therefore, alcohol use and related disorders will increase as a public health problem in Nigeria over the coming years and the global burden of alcohol related illness will continue to rise. In fact, Alcohol consumption has been linked to more than Sixty (60) medical conditions and is presently also linked to categories of disease whose relative impact on the global burden is predicted to continues increases [5].
In Nigeria, psychoactive substance misuse, especially alcohol, which has for many years, been an issue of increasing health and social importance. This is specially so for the critical adolescent period marked by several changes including the psychological phenomenon of experimentation [6]. Studies showing strong correlation of youth violence and harmful alcohol use have been reported in several countries. In Australia, a report released by the government in 2011 stated that young people aged 10-14 years, who had engaged in binge drinking in the previous two weeks were five times more likely to have been violent than non-binge drinkers [7].
Over the years, there has been a proliferation of the Nigerian alcoholic industries with several adulterated brands of beer with its antecedent consequences among productive youths. However, of great concern is that of a locally made gin popularly known as “Goskolo” (GSK). The world over, alcohol consumption continues to be one of the risky behaviours engaged in by adolescent [8] and therefore, one of the common habits among peer groups that cause physiological and social problems of phenomenal proportions [9]. Jos the capital city of Plateau and its environs, have witnessed in recent times, a rise in indulgence of youths in the consumption of a locally brewed alcohol product popularly called Goskolo (GSK). This has culminated into the premature death of this productive class of its citizen besides the burden of family disruption, violence, and high increase in Crime rate the state has been struggling with over the years [10]. Besides this, it has been speculated that dangerous substances which are injurious to health and whose nature in not known to the general public forms part of GSK drink. This is to say, GSK is suspected to be adulterated with several substances which might be injurious to the health of humans. In view of the aforementioned, and many medical complications exhibited by the victims of GSK such as hematesis, jaundice, chronic Liver disease; hepato-Splenomegaly; and chronic dehydration; besides the lack of available official scientific data regarding the true biochemical, hematological and histological effects of GSK on body organs, makes this study imperative.
Material and Methods
Study Area
The study was carried out in Jos. Samples were collected from Tudun Wada area within Jos North Local Government area of Plateau State, Nigeria.
Collection of Goskolo (GSK) Alcoholic Brands
Four (4) different brands of commercially produced Goskolo (GSK) beverage (Alomo bitters-AB; Dark Rum-DR; Swagga Schnnaps- SS; and Swaga Dry Gin-SDG) were procured from retail shops (local suppliers) in the amount of 200mls each as it is easily available in the local market. Samples were stored under refrigeration between 2-80C and later sent to the laboratory at low temperature for Gas Chromatography and Mass Spectrometry (GC-MS) analysis.
Experimental Animals
Fifty (50) healthy adult male Wister albino rats were bred in an animal house of the Department of Pharmacology, University of Jos. The average weight of each animal was 200± 30g.They were housed under Standard Laboratory conditions with a 12 hours day light circle and free access to feed and water; they were made to acclimatize to Laboratory conditions for two weeks before the commencement of the experiment. All experiments were carried out in compliance with the recommendations of Helsinki’s declaration on guiding principles of care and use of animals. Ethical clearance for the experiment was also obtained from the University of Jos.
Study Design (Experimental Design)
The Fifty (50) Adult male Wister albino rats were randomly divided into five (5) groups of ten rats each. The five groups of rats were then subjected to the following oral treatments (using a graduated syringe and stainless intubation cannula) once a day for thirty days. However, an initial test run (pilot study) was carried out prior to the experiment in order to estimate the LD50 of GSK adopting the Acute Oral Toxicity- Up-and- Down (UDP) procedure [11,12], which was then used in the study animals. Briefly, the first animal received a dose step below the level of the best estimate of the LD50. (Since no information was available to make a preliminary estimate of the LD50 of GSK, the suggested starting dose was 0.05- ml/kg [11].
The animal was observed for 1 - 2 days before dosing the next animal. For the animal that survived, the dose for the next animal was increased by a factor of 3.2 times the original dose; for the one that died, the dose for the next animal was decreased by a similar dose progression. [11]. i.e.
For a maximum weight of 230g, using a starting dose of 0.05ml/ kg would imply as
And for a minimum of 170g using the same starting dose of 0.05ml/kg
Hence, we got 0.01 x 3.2 = 0.03; 0.03 x 3.2 = 0.10; 0.31 x 3.2 = 0.98
The established LD50 for this experiment was 0.98mls/kg body weight. Thus,
1) GROUP -I: Included ten adult male Wister albino rats
2) They were given a daily oral dose of only distilled water at a dose level of 0.31mls/kg for a period of 30 days.
3) GROUP - II: Included ten adult male Wister albino rats that were given a daily oral dose of GSK ‘AB’ at a dose level of 0.31mls/kg of body weight for a period of 30 days.
4) GROUP - III: Included ten adult male Wister albino rats that were given a daily dose of GSK ‘DR’ at a dose level of 0.31mls/ kg of body weight for a period of 30 days.
5) GROUP -IV: Included ten adult male Wister albino rats that were given a daily dose of GSK ‘SS’ at a dose level of 0.31mls/ kg of body weight for a period of 30 days.
6) GROUP-V: Included ten adult male Wister albino rats that were given a daily oral dose of GSK ‘SDG’ at a dose level of 0.31mls/ kg of body weight for a period of 30 days.
Where ‘AB’, ‘DR’ ‘SDG’ and ‘SS’ were as determined via the LD50 estimated via the up and down method as explained.
All the animals were observed daily for any mortality up to the day 30th for all the groups. Also, the animals were observed for any clinical signs; at least twice daily in order to record any symptoms of ill-health or behavioural changes. Such clinical observations included- changes in skin and fur, in the eyes and mucosa membrane, in the respiratory, circulatory, central nervous and autonomous system and behaviour and were graded as:
0-No clinical sign
+-moderate
+++-high
++++-severe
Also, the body weight of each rat was recorded before the start of experiment and after every week up to the end of the experiment. The mean body weights of different groups were calculated from the individual weights.
Collection of Blood Samples
Blood samples were collected twenty-four hours (i.e. at day 31st) after the last dosing of all the groups).
Termination of Studies
On completion of the study, all the animals were sacrificed by Chloroform Inhalation. A full necroscopy was performed on all the animals which included examinations of the external surface of the body orifices, thoracic and abdominal cavities and their content. The organ weight of the kidneys and the liver of each rat were weighted on day 31st for all groups using a melter electronic weighing machine.
Laboratory Procedures
All reagents were commercially purchased and the manufacturers Standard Operating Procedures (SOP) strictly adhered to.
Determination of Heavy Metals (Manganese (Mn), Lead (Pb), Chromium (Cr), Cadmium (Cd), Nickel (Ni), and Cobalt (Co).
To measure the serum levels of the metals, serum samples were thawed and directly diluted for the determination of the trace elements. Samples were diluted 1 in 50 in 0.1N Nitric acid. Levels of Mn, Pb, Cr, Cd, Ni, and Co were determined by Atomic Absorption Spectrophotometer (AAS-HITACHI 180-80 Polarised zee man model).
Gas chromatography/h5>
The quantitative determination of major compounds presents in a concentration larger than 10 mg/L was performed in a gas chromatograph 6890N (Agilent Technologies Inc., Wilmington, DE, USA) provided with an auto sampler 7863 (Agilent Technologies Inc., Wilmington, DE, USA) and a capillary column HP-Innowax (30 m´0.25 mm i.d., 0.25 mm film thickness; Agilent Technologies Inc., Wil- mington, DE, USA). The carrier gas used was Helium, at a flow rate of 1.5 mL/min and the setting temperatures for the injector and Flame Ionization Detector (FID Agilent Technologies Inc., Wilmington, DE, USA) were 220 and 250 °C, respectively. The operative conditions and details on the calibration curves had been described else- where [13]. Analysis of samples were in triplicate and the average concentration of each compound was used for our results.
Headspace SPME-GC-MS
The minor compounds are the substances detected after sample concentration by headspace solid-phase micro extraction (HS-SPME) followed by gas chromatography-mass spectrometry (GC-MS) analysis. The HS- -SPME operation was carried out as described by DeLeón-Rodríguez, et al. [13] using separately an SPME or- angle fiber of 65 mm (Carbo-wax/divinylbenzene, CW/ DVB) and an SPME black fiber of 65 mm (Carboxen/ polydimethylsiloxane, CAR/PDMS). The SPME fibers were immediately inserted in the GC injector in splitless mode for 1 min at 180°C. The GC-MS analyses were carried out in a gas chromatograph 6890N (Agilent Tech- nologies Inc., Wilmington, DE, USA) coupled to an HP 5973N mass selective detector (Agilent Technologies Inc., Wilmington, DE, USA) and a DB-WAX column (30 m´ 0.32 mm, 0.5 mm thickness; Agilent Technologies Inc., Wilmington, DE, USA). The chromatographic conditions were 40°C for 3 min, increased at 3°C/min to 120°C, 6 °C/min to 200°C and maintained at this temperature for a final time of 60 min [13]. Helium was used as carrier gas at a flow rate of 1.0 mL/min and the injector and detector temperatures were 180 and 230°C, respectively. The MS ionization potential was 70 eV, transfer line temperature was 230°C, and the scan mode was 50- 700 m/z. The compounds were tentatively identified by comparing their mass spectra with those obtained in the NIST library of the MS database.
Histological Examination
This was carried out as demonstrated by the method of Sarkar, et al. [12]. Liver and kidneys were dissected out and fixed immediately in 10% formal saline for 24 hours. Having washed the specimens, they were washed in tap water, dehydrated in ascending grades of ethanol, cleared in xylene, embedded in paraffin wax (melting point of 50-56°C). Paraffin sections were cut at 6μm thicknesses using a rotary microtome (Model MR 60, Russian); finally, the sections were then stained with Harris haematoxylin and eosin and examined using a light microscope (Zeiss Axiophot, Germany) and photographs were taken with an automatic photomicrographic system.
Statistical Analysis
Data was analysed using one way analysis of variance (ANOVA) followed by Duncan’s multiple range test (DMRT). Results were expressed as mean ± S.D; P˂0.5 was taken as accepted level of significance using the Statistical Package for Social Sciences (SPSS) version 21.0. Results obtained were displayed in form of tables and figures.
Results
Figure 1 shows the Chromatogram of a brand of Goskolo (GSK) named Alomo Bitters (AB). One peak (Hit) was detected. The resultant peak was identified as Methylmorpholine - 4 - oxide with Retention time 12.9 minutes and Molecular weight of 117 generated through comparison of its Retention Time (RT) to that of the standard.
Figures 2-4 show two major hits each in Dark rum (DR), Swaga Schnnaps (SS), and Swagga Dry Gin (SDG) all of which were identified as 2,4- Dimethylhexane and 2,4- Dimethyl-1-decene, with RT of 13.0/28.0 min; Decanol and 2,4- Dimethyl-1- decene with RT of 25.7/28.0 min. and Decanol/Eicosanoic acid, 2- hydroethylester with RT of 25.7 min. and 28.0 min. respectively.
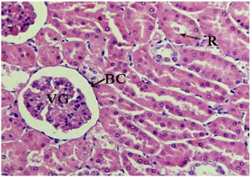
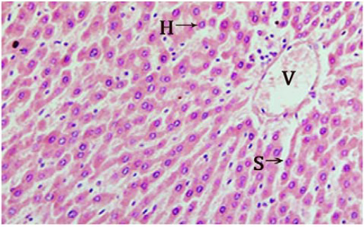
Figure 5.1a is a histological finding of the liver of control adult male Wister Albino Rat using Haematoxylin and Eosin method showing normal Hepatocyte (H), Central Vein (CV), and Sinusoids (S) as indicated using x 400 magnification. While figure 5.1b is a Haematoxylin and Eosin-stained section of kidney of control Wister Albino rat, showing Vascular Glomerular (VG), Bowman’s Capsule (BC), and Renal Tubule (R) as indicated using x 400 magnification.
Figure 5.1a: Group 1 (control) showing a section of the liver of control adult male Wister Albino Rat. H&E 400X.
Figure 5.1b: Group 1 (control) showing a section of the kidney of control adult male Wister Albino Rat. H&E 400X
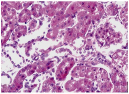
Figure 5.2a shows a histological finding of the liver architecture in Group 2 (GSK ‘AB’) using Haematoxylin and Eosin method. There is marked evidence of mild infiltration of inflammatory cells (MIF) as alcohol induced the sinusoids in adult male Wister Albino Rats treated with 0.31mls for 30 days as indicated using x 400 magnification while Figure 5.2b is a histological finding of kidney architecture in Group 2 (GSK ‘AB’)., characterized by alcohol-induced Glomeruli Shrinking (GS) therefore exhibiting a wider gap in the bowman’s capsule. There is also loosening of stromal connective tissue and some degenerative changes. Tubules are also severely damaged in adult male Wister Albino Rat treated with 0.31mls for 30 days as indicated using x 400 magnification.
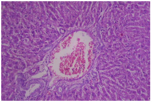
Figure 6.2a is a histological finding of the liver in Group 3 (GSK ‘DR’) using Haematoxylin and Eosin method showing mild liver Central Vein Congestion (CVC) in adult male Wister Albino Rat treated with 0.31mls for 30days while Figure 6.2b is a histological finding in Group 3 (GSK ‘DR’) of the kidney characterised by Inter-Tubular Congestion (IT) following administration of 0.31mls of alcohol for 30days as indicated using x 400 magnification.
Figure 6.2a: a) Group 3 (GSK ‘DR’) Showing histological findings of the Liver architecture. H&E 400X.
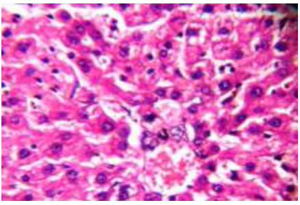
Figure 7.1a is a histological finding in Group 4 (GSK ‘SS’) using Haematoxylin and Eosin method of the liver architecture showing Severe Congestion Of Portal Vein (SCPV) and Marked Degeneration of Hepatocytes (MDH) in adult male Wister Albino Rat treated with 0.31mls for 30days as indicated using x 400 magnification while Figure 7.2b is a histological finding of kidney architecture in Group 4 (GSK ‘SS’) showing multifocal tubular epithelial degeneration and necrosis in the renal cortex and also moderate numbers of Lymphocytes (LYMT), macrophages, and Plasma Cells (PC) surrounding degenerated and Necrotic Proximal Convulated Tubules (nPCT) in adult Wister Albino Rat treated with 0.31mls of alcohol for 30 days as indicated using x 400 magnification.
Liver Histopathological Alteration
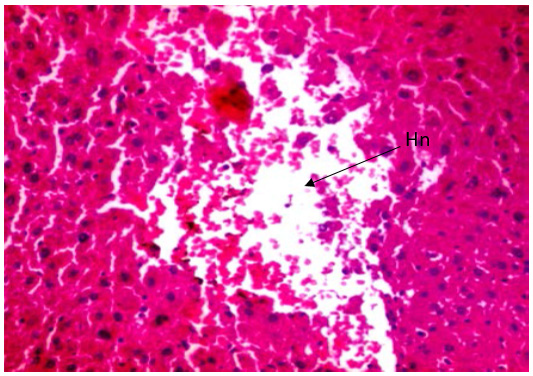
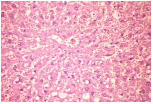
Figure 8.1a is a histological finding of the liver in Group 5 (GSK ‘SDG’) showing marked focal Hepatocytes Necrosis (Hn), hepatocyte drop-off and marked inflammations in adult male Wister Albino Rat treated with 0.31mls of alcohol for 30days as indicated using x 400 magnification while.
Kidney Histopathological Alteration
Figure 8.2b is a histological finding in Group 5 (GSK ‘SDG’) of the kidney architecture showing glomerular atrophy, swelling of glomerular epithelium, hyperaemia in cortical blood vessels and intraluminal hyaline cast in adult male Wister Albino Rat treated with 0.31mls of alcohol for 30 days as indicated using x 400 magnification.
Table 1 shows the concentration of heavy metals in PPM (mg/L) present in GSK brands with their respective pH and alcohol contents. It was observed that the Alomo Bitters (AB) containing 46.0 % alcohol and pH of 4.86 contains Manganese, Chromium, Cadmium, Nickel and Cobalt. Dark Rum (DR) was the most acidic with a 48.0% alcohol concentration and a pH of 3.55. Only Nickel and cobalt was detected in DR.
Table 1: Concentration of Heavy Metals in PPM (mg/L) present in GSK brands with their respective Ph and alcohol contents.
*Note: AB= Alomo Bitter, DR= Dark Rum (Bull), SS= SwaggaSchnnaps, SDG= Swagga Dry Gin, ND= Not Detected, P<0.05= Significant.
Table 2: Concentration of Heavy Metals (mg/L) in GSK Brands as Compared to Standard Limits [18].
*Note: SON= Standard Organization on Nigeria, WHO= World Health Organization, *= Mild level, **= Severe level.
Swagga Schnnaps (SS) and Swagga Dry Gin (SDG) contains 52.0% and 46.0% alcohol content with corresponding pH of 6.24 and 5.31 respectively. And Manganese, Lead, Chromium, Cadmium, Nickel and Cobalt were in both brands, except for Lead which was absent in SDG, AB and DR just as Mn, Cr and Cd was absent in DR. In all the brands, SS had the highest parentage of ethyl alcohol content (52.0%) whereas AB and SDG recorded the least (46.0%) each.
Table 2 shows the concentration of heavy metals in PPM (mg/L) in Goskolo (GSK) brands with respect to standard limits as specified by Standard Organization of Nigeria (SON) and World Health Organization (WHO). Levels of Cd, Ni, and CO detected in Alomo Bitters (AB), Ni and Co detected in Dark Rum (DR), Pb, Cd, and Co detected in Swagga Schnnaps (SS) as well as Cd, Ni and Co detected in Swagga Dry Gin (SDG) were all beyond specified limits as set by both SON and WHO.
Table 3 shows a Chromatographic profile of Goskolo (GSK) brands. The substances identified in AB is 4-methylmorpholine- 4-oxide (C5H11NO2) with a molecular weight of 117 and Retention Time (RT) of 12.9 min. DR showed presence of 2,4-dimethylhexane and 2,4-dimethyl-1-decene (C8H18 and C12H24) with molecular weights of 114,168; and RT of 13.0 and 28.0mins. respectively. SS, which showed presence of (E) -2-decenol (Decanal) and 2,4-dimethyl-1-decene (C10H18O and C12H24) with molecular weights of 154,168; had RT of 25.7 and 28.0mins. respectively. SDG had (E) -2-decenol and Eicosanoic Acid, 2-hydro ethylester (C10H18O and C23H46O4) with molecular weights of 154,386; and RT of 25.7 and 28.0mins. respectively.
Table 3: Chromatographic profile of GSK brands.
Note*: **= Compounds in abundance (as generated from Figures 1-4)
Dark Rum (DR) showed presence of a compound (2,4-dimethylhexane) with the least molecular weight (114) as SDG had the compound of (E) - 2-hydro ethylester with the highest molecular weight of 386.
Discussion
This study, revealed the presence of heavy metals including Cadmium, which has been implicated in the Nephrotoxicity. Both ethanol and Cadmium, as reported by [14] induce the biosynthesis of Methalothionein invivo and it has also been proposed that ethanol induces the synthesis of metallothionein indirectly by increasing the Cd body burden as well as by altering Zinc-homeostasis. Also, level of Zinc rises when the synthesis of this protein is induced. Thus, it is probable that ethanol induces the biosynthesis of this protein indirectly via Cd and Zn [15].
The levels of Manganese, and Chromium detected in GSK (“AB”, “SS” and “SDG”); indicated significant concentrations (P<0.01). The values were within intolerable and unacceptable limits [16,17] (Table 1). This is in tandem with the findings of Gazuwa, et al. [18] who had earlier reported higher levels of Manganese and Zinc while working on toxicants in some native beers locally brewed in Jos.
Metal poisoning following its accumulation in selected human tissues particularly the brain, kidneys and the liver with its devastating consequences is long established. Thus, it has been described as a silent epidemic and is known to constitute a public menace [19,20]. Likewise, the devastating effects of other heavy metals such as lead, Cobalt, Nickel, including Chromium is well known. They have been implicated in chronic damage to the nervous system, Liver, epileptics, fatigue, irritability, Anaemia, stomach and intestinal irritations [19,20].
Cadmium is a known toxic metal causing injury and necrosis to nephrons and hepatocytes. And as indicated in this study, the levels of Cd in GSK brands are far higher (p<0.05) than the safe limits (NAFDAC-0.01mg/L; and WHO-0.003). Implying that GSK consumers are with time exposed to this compound which has the ability to induce the generation of reactive oxygen species which depletes the antioxidants and enhances lipid peroxidation, interferes with vitamin D metabolism, as well as depletes blood levels of Magnesium in addition to compromising cell membrane integrity [21].
The result of the Mass Spectrometry (GC-MS) has shown that GSK has several Spectra (Compounds) viz: - Decanal, Morpholine and (Hydroxymethyl) ethylester. These compounds have been reported to be undesirable, dangerous and injurious to health [22]. Renal tubules have been reported to exhibit sensitivity to toxicants, partly because they have high O2 consumption and enzyme system that is vulnerable due to the inherent complicated transport mechanisms that may be used for transport of toxins and as a result, may ultimately get damaged by such toxins. This is also aggravated as the tubules come in contact with toxic chemicals during excretion and elimination by Kidneys [23].
Histopathological profile of our research also provided empirical evidence for biochemical analysis. Examination of liver sections of rats revealed distortion of the normal structural organization of the hepatic lobules, and loss of characteristic cord-like arrangement of the normal liver cells, especially Figures 7.1a and 8.1a. This was seen with increase in the duration of exposure of the rats to the GSK. Several Liver cells were damaged and lost their characteristic appearance while others showed marked cytoplasmic vacuolization. The architecture of the liver elicited severe hepatic injury as evident by the observation of pathological changes in the architecture of the liver through focal necrosis, and degenerative changes in the hepatocytes. These pathological changes correlated well with the altered enzyme activities as reported in our early work [24]. This finding is also in agreement with the observations noted by the work of Gani and John, [25,26]. In their study, a significant increase in the activities of serum enzymes within 18 hours of exposure of the rats to single dose of D-Galactosamine Lipopolysaccharide (D-Gal N/LPs) induced hepatotoxicity in rats indicating the severity of hepatocellular injury. Rats given D-Gal N/LPs elicited severe hepatic injury as confirmed by the observation of pathological changes like infiltration of inflammatory cells, Kupffer cell hyperplasia, neutrophil accumulation and focal necrosis.
The liver is the major target organ of toxicity in the body and any injury to it may affect the integrity of hepatocytes resulting into the release of liver enzymes e.g. ALP, ALT, AST and GGT since these enzymes are confined to hepatocytes and only released into the blood following liver injury [24]. In our study, damage of liver caused by GSK is evident by the alteration in serum marker enzymes and albumin as earlier reported by bot, et al, [24]. Group 3 and 4 showed significantly increased serum levels of AST enzymes (84.42±0.16IU/L; 101.24±0.09IU/L; 96.68±0.13IU/L) as against the control (83.04±0.03IU/L) as well as significantly reduction in albumin concentration. This result indicates liver damage, leakage of enzymes from cells and loss of functional integrity of cell.
Conclusion
Toxic and harmful compounds are present in GSK in Jos (comprising of heavy metals (Cd, Cr, Pb and Ni) and Organic compounds: -Decanal, Morpholine and Ethyl-esthers). Thus, consumers stand the risk of the toxic effects of these compounds and its metabolites. The generation of such metabolites/organics may not be unconnected to lack of standardization in the preparation of GSK or the deliberate attempt through the inclusion of harmful additives whose final destination is of course the GIT of the consumers. Hence, what consumers of GSK, ingested as ethyl alcohol contains several undesirable components that are dangerous and necrotic to the well-being of the consumers. Thus, this study has shown that the administration of GSK caused severe damaged to the hepatic and renal tissues, thus inducing significant dysfunction of these organs. Implying that the resulting tissue damage by GSK is able to in turn induce hematological and biochemical disorders.
Data availability Statement
Data mostly photographs will be made available on reasonable request.
Acknowledgments
None.
Conflicts of Interest
None.
References
- (2014) World Health Organization. Global status report on alcohol and health; World Health Organization: Geneva pp. 1-43.
- Odejide OA (2006) Alcohol policies in Africa. African journal of Drug and alcohol studies. 5: 27-39.
- Jernigan DH (2001) Global status report: Alcohol and young people. Geneva: World Health Organization.
- Alcohol and public policy group (2010) Alcohol: no ordinary commodity- a summary of the second edition. Addiction. 105: 769-779.
- Das SK, Balarkrishnar V, Vasudervan DM (2006) Non-alcoholic fatty liver diseases: an under recognizes cause with emerging importance. Cur Sci 90: 659-665.
- Ebirim IC, Morakinyo OM (2011) Prevalence and perceived health effect of alcohol use away make undergraduate students in Owerri, South- East Nigeria.
- Bonomo Y, Bowes G, Coffey C, John B Carlin, George C Patton (2004) Teenage drinking and the onset of alcohol dependence: a cohort study over seven years. Addiction 99: 1520-1528
- Arata CM, Stafford J, Times MS (2003) High school drinking and its consequences. Adolescence 38: 567-579.
- Hewitt BG (1998) Alcoholism: Developmental patterns of drinking and prevention of alcohol use disorders: in Tsuang, Mt, Stone WS, Lyons MJ (Eds.) Recognition and prevention of major mental and substance use disorders. American Psychiatric Publishing Inc. pp.297-316.
- Lami Sadiq (2017) How Goskolo is turning Plateau Youth into slaves. Online Daily Trust Newspaper pp. 1.
- OECD (2001) Test Guideline 425. Acute Oral Toxicity- Up-and- Down Procedure.
- Sarkar B, Chatterjee A, Adhikari S, Ayyappan S (2005) Carbofuran- and cypermethrin-induced histopathological alterations in the liver of Labeo rohita (Hamilton) and its recovery. Journal of Applied Ichthyology 21(2): 131- 135.
- De León Rodríguez A, Escalante Minakata MDP, Jiménez García MI, Ordoñez Acevedo LG, Flores Flores JL, at al. (2008) Characterization of volatile compounds from ethnic Agave alcoholic beverages by gas chromatography-mass spectrometry.
- Torrenggiani A, Chatgilialogu C, Ferreri C, Melchiorre M, Atrian S, et al. (2013) Non enzymatic modifications in metallothioneins connected to lipid membrane damages: Structural and biomimetic studies under reductive radical stress. J Proteomics 30(92): 204-215.
- Deora Paramveer, Mishra Chanchal K, Mavani Paresh, Asha Rani, Shrivastava B, et al. (2010) Effective alternative methods of LD50 help to save number of experimental animals. J Chem Pharm Res 2(6): 450-453.
- Brzoska MM, Jurczuk M, Moniuscsz Jakonius I, Gadazyn Sidorrezuk M, Kulikowska Karpinska E (2004) Antioxidant enzymes activity and Lipid Peroxidation in Liver and Kidney of Rats exposed to Cadmium and Alcohol. Food Chem Toxicol 42(3): 429-438.
- SON (2007) Nigerian Standard for drinking water quality: Standard Organization of Nigeria 8(2).
- Sylvester CI, Inionbong RI, Tariwari CN, Ifeoma PO (2016) A review of heavy metal concentration and potential health implication of beverages consumed in Nigeria. Toxics 5(1): 1-15.
- Gazuwa SY, Dabak JD, Ubom GA (2008) Contaminants in local alcoholic beverages; Zinc and Manganese contamination. International Journal of Biological and Chemical Sciences 2(4): 411-416.
- Hu H (2002) Human Health and Heavy metals exposure in M MC Cally (Ed) Life Support: The Environment and Human Health. MIT Press pp. 65-81.
- Mielke H, Gonzales C, Smith M, Mielke P (1999) The urban environment and children’s health, soils as an integrator of lead, zinc and cadmium in New Orleans, Louisiana, USA. Environs Res Sect 81(2): 117-129.
- Yang CF, Sken Y, Zhuang ZX, Ong, CN (2000) Cadmium induced oxidative cellular damage in human fetal lung fibroblast (MRC-5-cells) Environ Health Perspect 105(7): 712-716.
- Somchai R, Jacek AK (2015) The relationship between chemical concentration and odor activity value explains the inconsistency in making a comprehensive surrogate scent training tool representative of illicit drugs. Forensic Sci Int :257-270.
- Tisher CC, Brenner BM (1989) Renal Pathology with Clinical and functional correlation. J.B Lippincot Company (1).
- Bot Yakubu Sunday, Vidya Sankarapandian, Emmanuel Ifeanyi Obeagu, Anslem Ajugwo, Patricia Oluchi Okezie, et al. (2023) Some Biochemical and Haematological Studies of a Local Indigenous Alcohol Beverage in Male Albino Rats. Acta Scientific Veterinary Sciences 5(3): 56-63.
- Gani AS, John SA (2013) Evaluation of Hepatoprotective effect of Nigella sativa L. International Journal of Pharmacy and Pharmaceutical Sciences 5(4): 428-430.












We use cookies to ensure you get the best experience on our website.